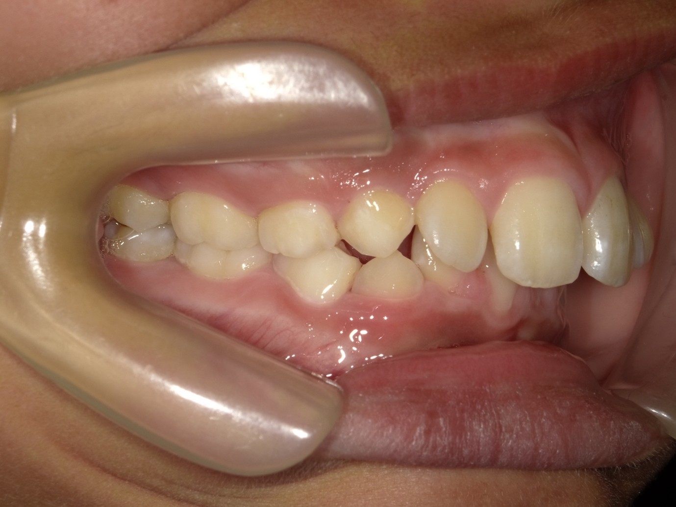
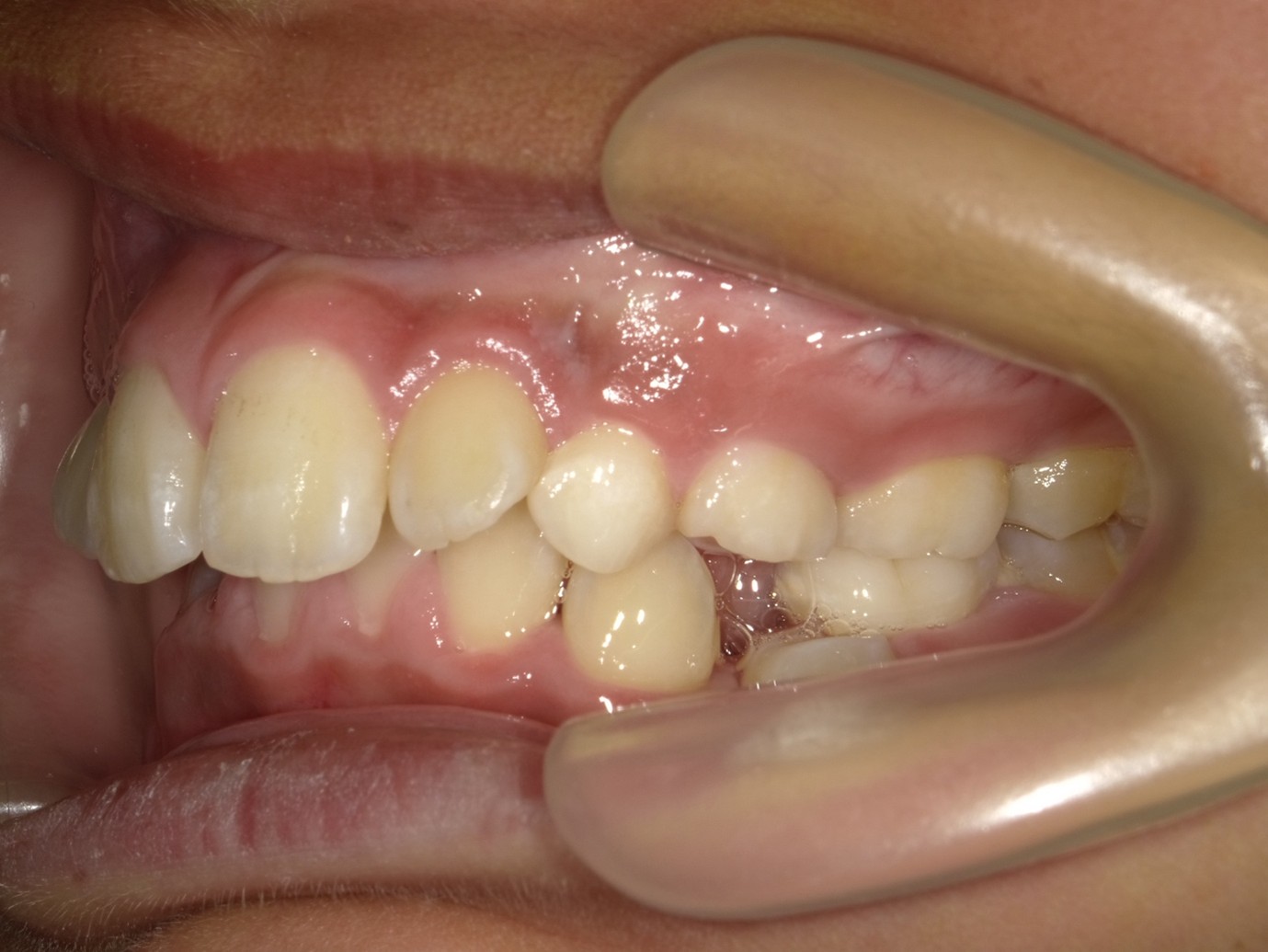
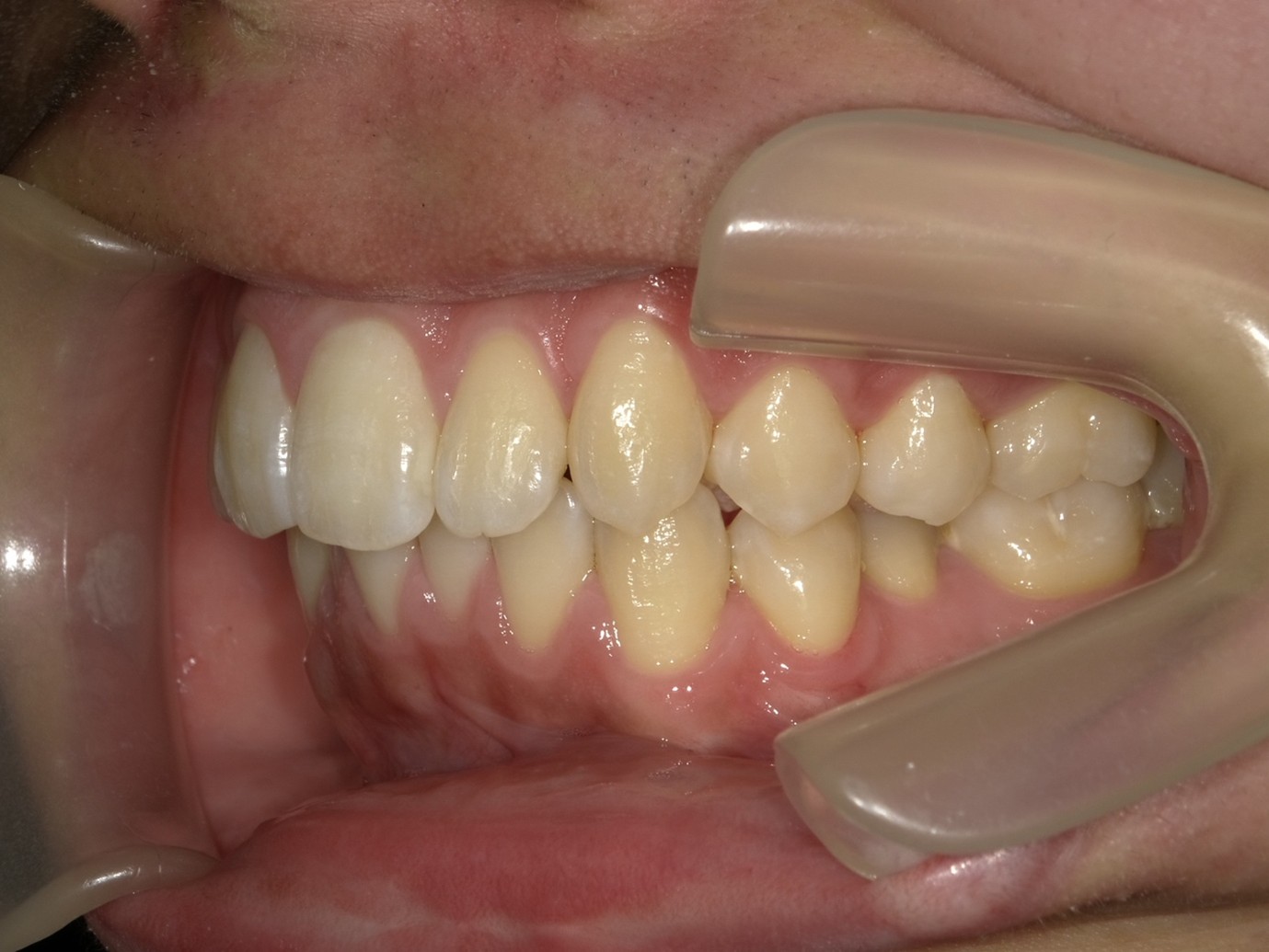
「過蓋咬合」とは下の前歯が上の前歯で標準より大きく覆われている歯並びのことを表します。下の顎が生まれつき小さい場合、サイズの不調和で過蓋咬合になることがあります。標準的な前歯の重なりは2-3mmですが、過蓋咬合では下の前歯が見えなくなるほど深く咬み合っています。下の前歯が上の前歯に過剰な力で咬み合うと、前歯に負担がかかったり、「突き上げ」の力で上の前歯に隙間が生じることや出っ歯になる原因になります。ひどい場合は、下の前歯が上の顎の歯茎に食い込んで傷をつけてしまいます。

下の顎が小さいことや前歯のサイズが大きいという個性のほとんどは親からの遺伝です。
奥歯の高さが低いことや、前歯が伸び出てしまうことも先天的な原因です。
子どもの歯が虫歯などで早期に抜けてしまうと、その後の永久歯の生え方によって過蓋咬合になることがあります。
成長期のお子さんの場合は、咬合を挙げる(咬合挙上)・下あごの成長促進などで顎の正しい成長を促します。
これらが基本ですが、お口の中の状態や成長の度合いによってできることとできないことがあるので、最適な組み合わせを提供します。

上下の歯にブラケット装置を装着し、全ての歯を3次元的に動かすことで歯並びを改善します。上下の歯を抜いて(便宜抜歯)前歯を牽引する、前歯を歯茎側に押し込む(圧下)、奥歯を萌出方向へ動かす(挺出)などを行います。前歯の咬み合わせの重なりを浅くするために、アンカースクリューやその他の装置を追加で装着したり顎間ゴムを使用することもあります。











| 症例分類 | 過蓋咬合 |
|---|---|
| 主訴 | 他の歯科医院で咬み合わせを指摘された |
| 年齢 | 10歳10ヶ月 |
| 性別 | 男性 |
| 抜歯部位 | なし |
| 使用装置 | 拡大装置、咬合斜面板(取り外し式の矯正装置) |
| 治療期間 | 3年4ヶ月 |
| 保定装置 | 咬合斜面板 |
| 費用 | 相談料0円、検査料55,000円 動的矯正治療費330,000円 調整料6,600円×30回分 保定装置料0円 |
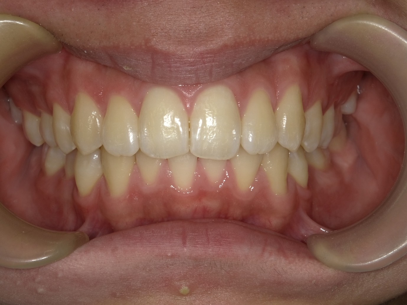
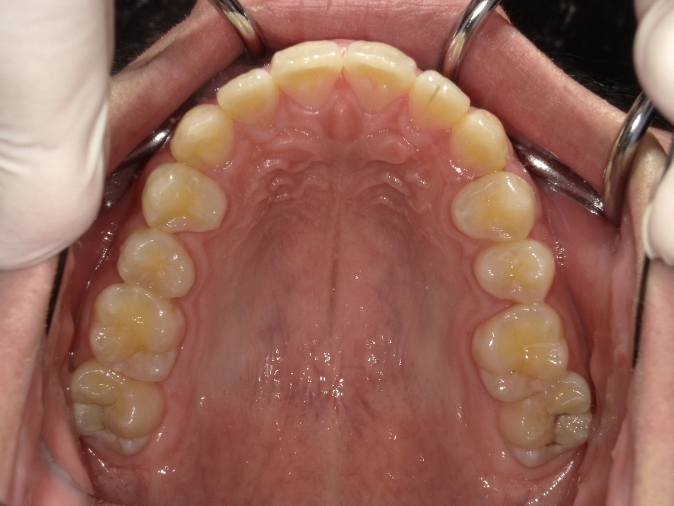
| リスク・注意点 | 上の顎の大きさに対して下の顎が小さく、過蓋咬合が生じています。これらを改善するために、幅の狭搾している歯列を側方に拡大したのち、下顎の成長を促進しました。
歯の動き方には個人差があり、予想された治療期間が延長する可能性があります。 治療中は矯正歯科装置が歯の表面に付いており、歯が磨きにくくなるため、むし歯や歯周病が生じるリスクが高まります。ハミガキを適切に行ってお口の中を常に清潔に保ち、さらに、かかりつけ歯科医に定期的に受診することが大切です。 矯正歯科装置の使用状況、定期的な通院など、矯正歯科治療には患者さんの協力が必要であり、それらが治療結果や治療期間に影響します。 治療の経過によっては当初予定していた治療計画を変更する可能性があります。保定装置の装着時間が十分確保できない場合、歯並びや、咬み合せの「後戻り」が生じる可能性があります。 上下両側第二大臼歯の萌出を観察する必要があります。(治療後の写真は成人矯正開始直前の資料です。) |