前回はホワイトニングの仕組みについてお話ししました。
今回はホワイトニングの施術の流れについて具体的にお話しします。
ホワイトニング施術の流れ
①カウンセリング
気になる部分や目標の歯の白さをお伺いします。
②細部のステイン除去(パウダートリートメント)
着色を落とした後に、歯の色見本(シェードガイド)を使って、今の歯の色を確認します
③歯の写真撮影
ホワイトニング前後の比較ができるように、歯の撮影を行います。
④ホワイトニング光照射
ホワイトニング剤(過酸化水素+ポリリン酸)を歯の表面に塗布して、光照射を行います。
1回のオフィスホワイトニングで9分間×3回光照射します。
⑤施術後の歯の写真撮影で効果を確認
施術後も撮影を行い、施術前に撮影した画像と比較し効果を実感していただきます。
⑥フッ素コーティング
1回の施術で目標の色調まで歯が白くならないこともありますが、
好みの白さに応じて、施術の回数や頻度を相談しながら進めることができます。

歯の色見本(シェードガイド)
ホワイトニングでどれくらい白くなる?
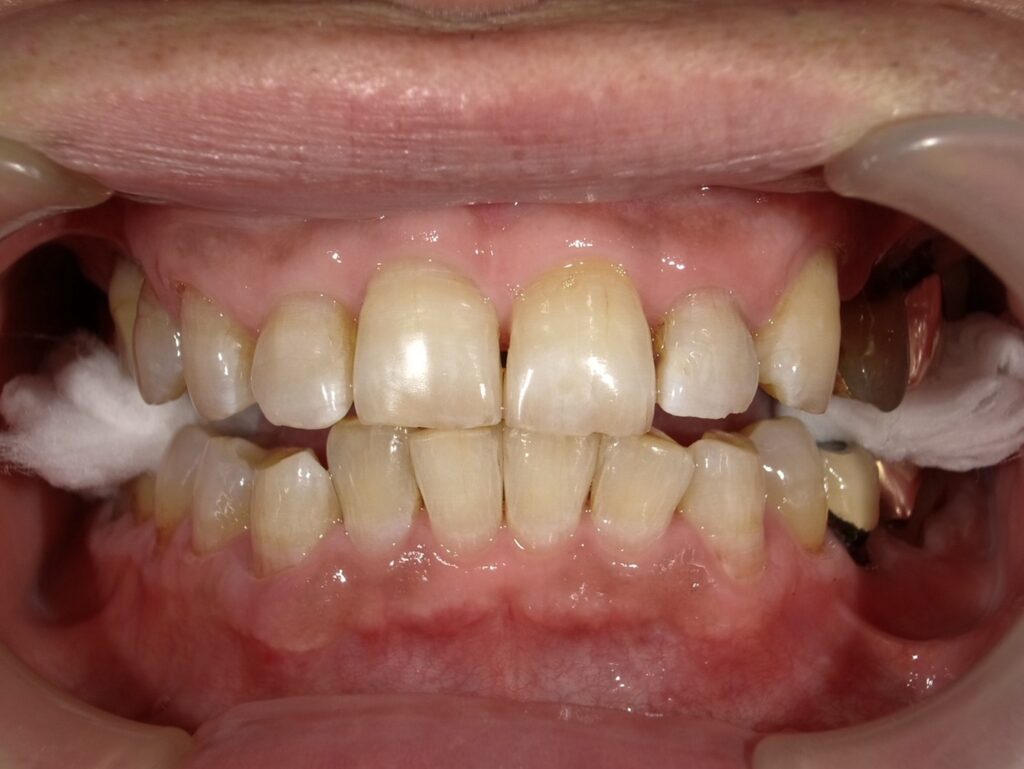
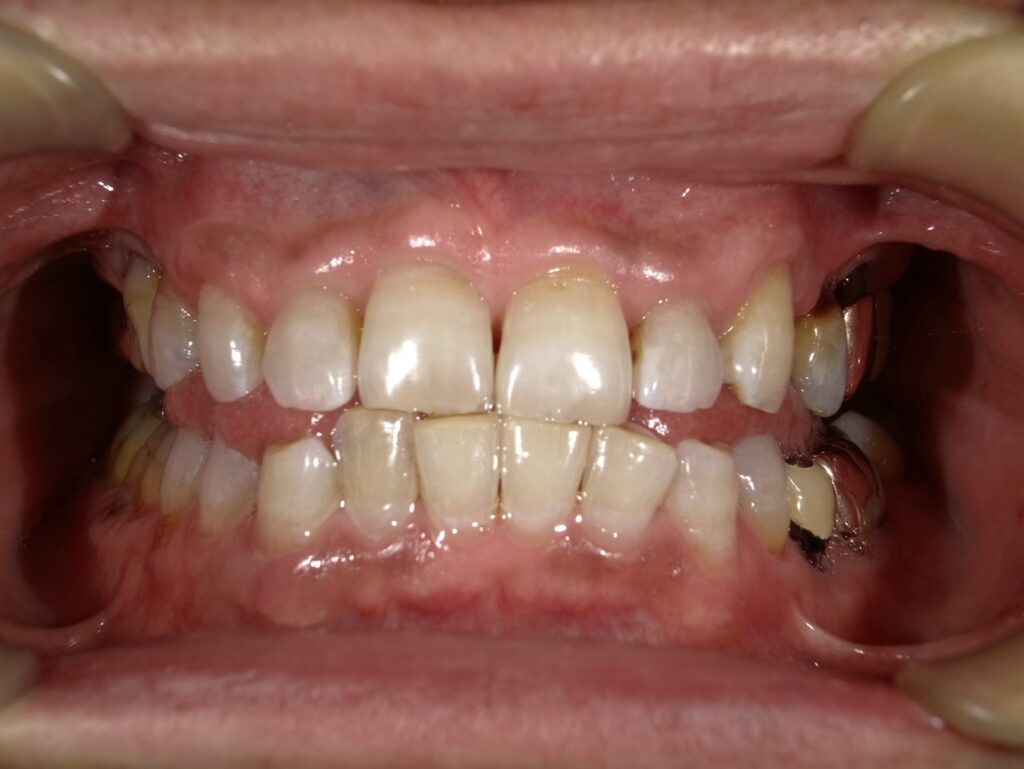
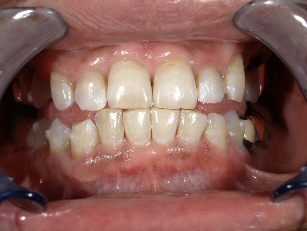
こちらは院長本人の歯の写真です。
①ホワイトニング前

②ホワイトニング1回目

③ホワイトニング3回目

④ホワイトニング5回目

1週間おきにオフィスホワイトニングで光照射を行い、約1ヶ月で①から④まで白くなりました。
| 治療内容 | オフィスホワイトニング |
|---|---|
| 治療回数 | 画像②1回目(3回光照射)、画像③3回目(累計9回光照射)、画像④5回目(累計15回光照射) |
| 費用 | パウダートリートメント&オフィスホワイトニング(初回)11,000円(税込) オフィスホワイトニングのみ(2-5回目、3×4=12回光照射)11,000円 × 4 = 44,000円(税込) |
| リスク・副作用 | 一時的な疼痛や色ムラが生じる場合があります。 ホワイトニング後は多少の後戻りが生じる場合があります。 |
施術前のカウンセリングでしっかり相談して、目標を決めていきましょう。
歯の色見本(シェードガイド)を使って、今の歯の色調の確認だけでも対応しています。
日曜日の施術予約も受け付け中です。
まずはご相談ください。