お子さんの歯がなかなか生え変わらないことで、不安になった経験はありませんか?
例えば、このレントゲンをご覧ください。

上あごの前から3番目の大人の歯(犬歯・赤色)が骨の中に埋まったままになり(埋伏)、前から3番目の子どもの歯(乳犬歯・黄色)が抜け残っている状態です。
このまま放置すると埋伏した犬歯は生えてこないばかりか、周囲の骨や他の歯の根を溶かし始める危険があります。
埋伏した歯を生やすためには、矯正治療で歯の向きを正しい方向へ動かすことが必要です。
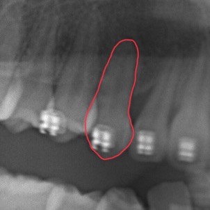
矯正治療が進んだ後のレントゲンがこちらです。

埋伏した歯は根の形成が終了するとその位置から動かすことがより困難になる可能性があるため、子どもの矯正治療でアプローチすることがお勧めです。
別のパターンも見てみましょう。

上あごの前から2番目の大人の歯(側切歯)が生まれつき存在せず(先天欠如)、3番目の大人の歯(犬歯)が側切歯の位置に生えてきています。そのため、前から3番目の子どもの歯(乳犬歯・黄色)が抜け残っている状態です。
子どもの歯は本来生え変わるものなので、その下に大人の歯が控えていなくても自然に歯の根が吸収されて抜けてしまう可能性があります。抜けてから対処するのもひとつですが、幼少期や青年期の矯正治療で子どもの歯を抜いて隙間を閉じることで心配事をなくしてはいかがでしょうか。
まずはご相談ください。