小児矯正は、永久歯の歯並びを整えるための、土台づくりの治療です。
口呼吸などの悪習癖を取り除き、顎の成長をコントロールすることに力を置いています。顎の骨が成長しきる前に問題を解決していく治療です。
小児の矯正治療で重要視しているのは、最初の相談の時の問診です。
紙に書かれたものではなく、私自身が子どもの前で色々尋ねることに重きを置いています。
と言いますのも、小児矯正において歯並びの悪さのほとんどが、ベロの位置の悪さに起因をしているからです。こちらが名前を尋ねたり、どこの小学校で何年生で、担任の先生の名前を聞くことで、ベロの動かし方がある程度チェックできますので、ベロの位置を把握することができます。

昨今小児歯科の分野で口腔機能発達不全症というのがよく取り上げられていますが、その対処方法として、姿勢を良くしましょう・舌位を是正する訓練、いわゆるMFTを取り入れましょうとか、よく噛んで飲み込みましょうなどが書かれています。しかし、姿勢が悪くなっているのも、舌の位置が悪いのも、奥歯でしっかり噛めないのも、鼻閉や過大な扁桃腺により、鼻呼吸ができなくて口呼吸をせざる得なくなっていることに起因しているのです。その根本問題を無視して、子どもにあれこれ強いるのは本末転倒です。当院では、狭くなった上顎の口蓋そのものを拡げることで、鼻呼吸し易くすることを基本に据えています。
保護者の方には、子どものいびきの有無や寝相、夢遊病的な動き・寝汗やおねしょ・寝起きの良し悪し・鼻水の状態・風邪をひきやすいのか・喘息の有無・ご飯を食べる時の様子等をお伺いさせていただき、日々の生活の様子を確認させていただきます。このあたりは鼻閉による悪影響なのですが、これがベロの位置と関連するのです。保護者に尋ねる項目では、睡眠障害や摂食嚥下に関するものと、子どもの成長に密接に関わるものですから、前歯のガタガタが気になるのでちょっと相談を。とこられた親子でも、実は深刻な問題がある可能性も少なくありません。
当院では、小児の矯正治療に上顎の天井そのものを拡げる方法を行っています。上顎の天井(口蓋)の骨のつなぎ目に作用して、左右に数mm離開させて新しく骨を作ります。これでほとんどの子に鼻呼吸への改善が認められます。痛そうですが痛くない装置です。
同じようなネジを組み込んだ取り外しができる装置では、残念ながら天井は拡がらず、歯が外側に傾斜するだけなのです。簡単な装置ですが、口呼吸の改善にはつながりません。

正中口蓋縫合を離開させることで、鼻閉による諸問題が消失することを数多く経験しています。症状が出っ歯であったり、受け口だったり、前歯で噛めない出会ったり、ガタガタしていても、根本的に鼻で息ができない、口で息をしている、ベロの位置が悪くなるといった悪い環境がありますので、この装置を使用します。
当院では上顎前歯部のセクショナルアーチを使用して、3番目の乳歯から前歯4本の永久歯と反対側の3番目の乳歯6本の歯の表面にブラケットを貼り付け、ワイヤーを通すことで、上顎の前歯を揃えます。そうしておけば、今まで上の前歯のガタつきで制限されていた下顎の動きがスムーズになるというメリットが生じます。もちろん見た目もよくなります。その後、リテーナー(保定装置)を家に居る時だけ装着してもらい、永久歯列への交換を待ちます。

成長前に行う小児矯正には、メリットがあります。
正常な呼吸法は、鼻で呼吸する鼻呼吸です。
口呼吸が癖になっていると、舌の位置が低くなり、舌・頬・口唇といった歯を取り囲んでいる筋肉の圧力のバランスが崩れ、それが原因となり、様々な不正咬合が引き起こされます。
出っ歯や、前歯のガタガタ、奥歯は噛めているのに前歯が噛み合わない開咬、下顎の歪みなどがその例です。
当院では、上顎を拡げ、鼻呼吸ができるようになっても舌の位置が改善しなければ、MFTと呼ばれるトレーニングを行っています。
MFTとは?
口腔筋機能療法と言われるものです。口腔周囲筋の機能を改善します。歯並びに関係している舌、唇、頬などの口腔周囲筋を正常な環境に整えるよう訓練を行います。
顎の骨の正常な発育を妨げるような歯並びや癖を改善し、顎の成長をコントロールします。
顎の成長のコントロールは、成長期の子供でしかできない治療です。
小児矯正により永久歯が並ぶための土台づくりができると、永久歯列になってからの治療が楽になります。抜歯を必要としない可能性が高くなります。場合によってはほとんど永久歯の矯正治療が必要ないこともあるでしょう。
歯並びを悪くする口呼吸などの癖も改善されているため、後天的な要因で永久歯の歯並びが悪くなるリスクも抑えることができます。
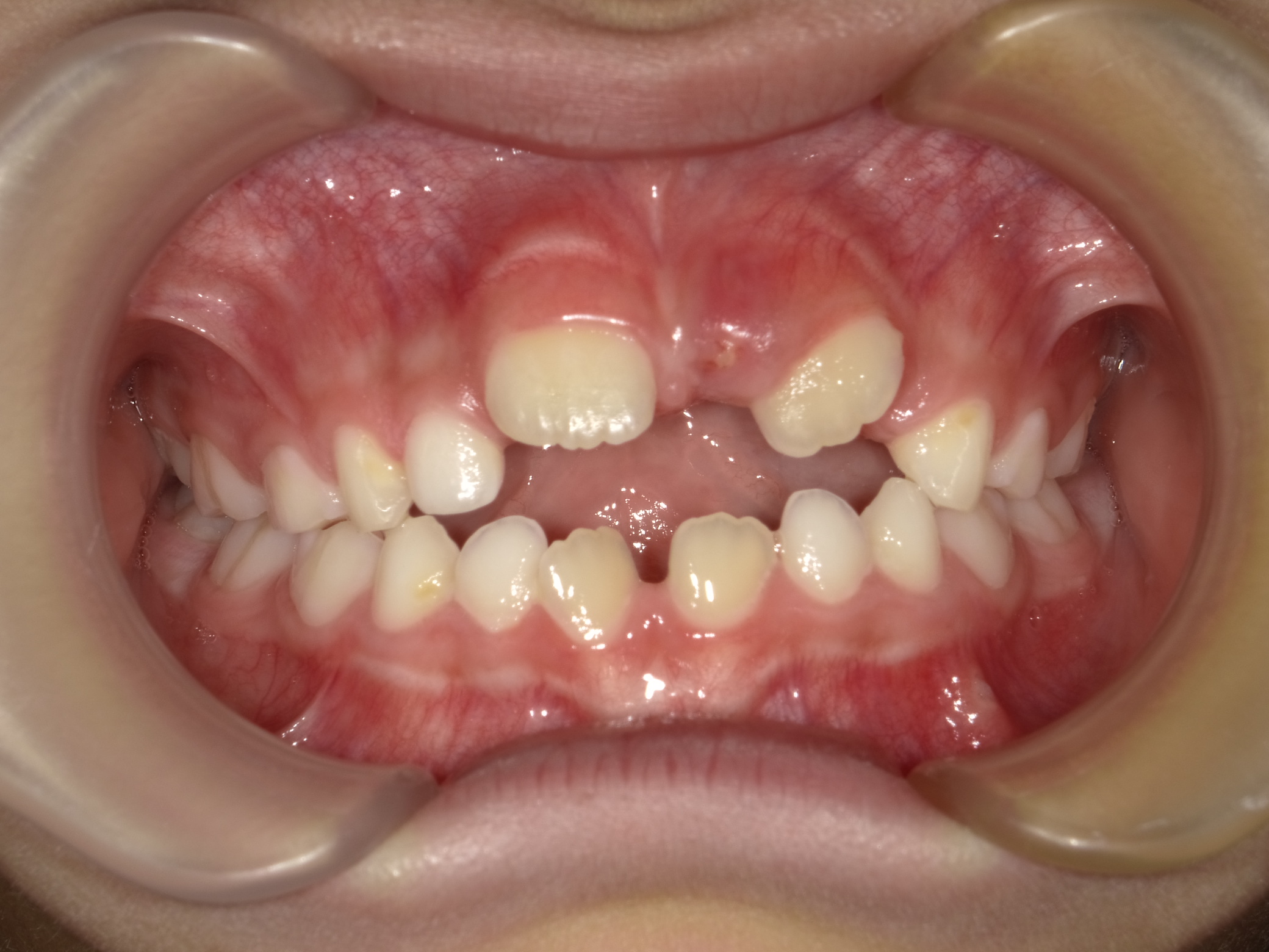
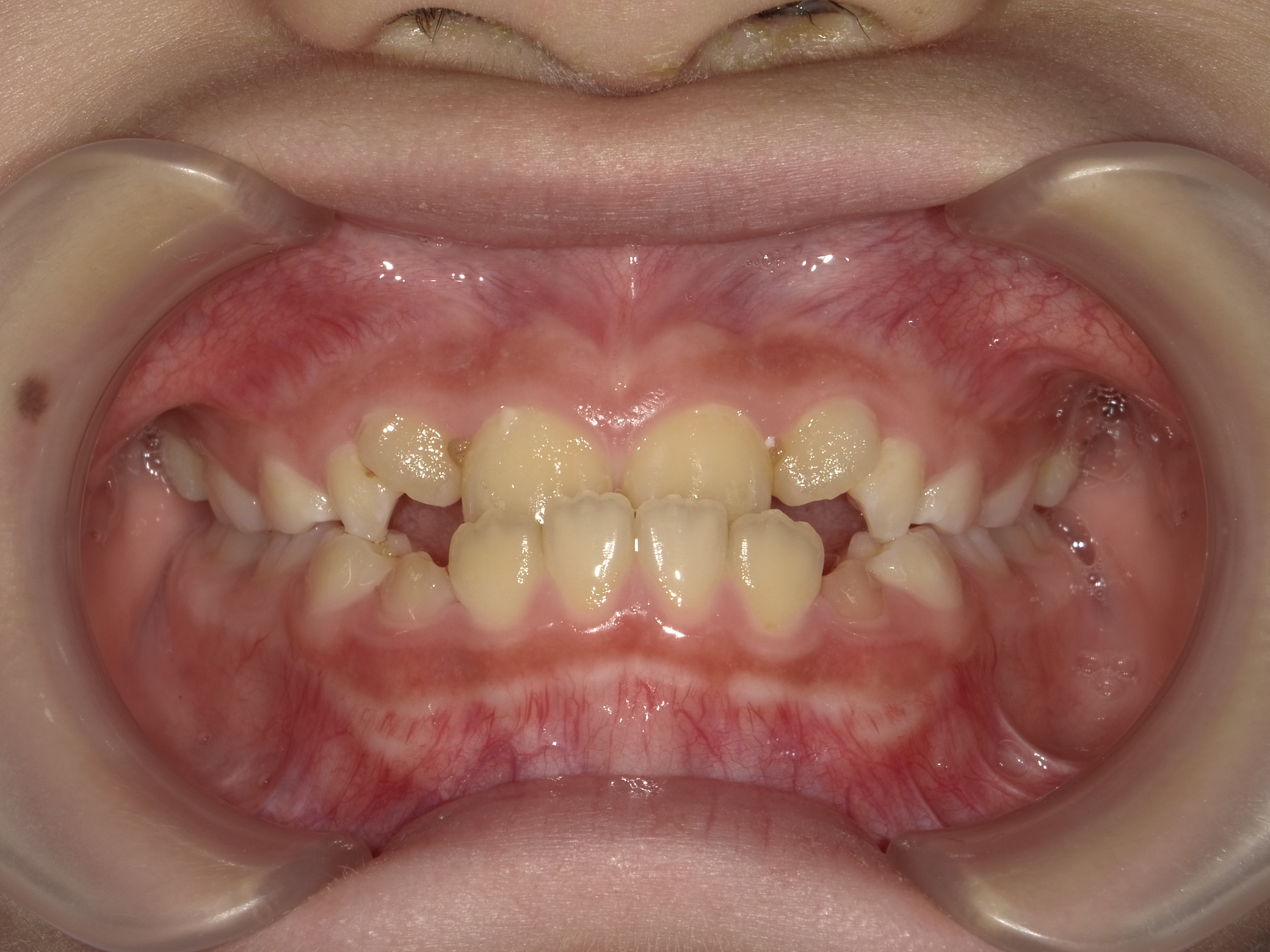
悪い歯並びと言われる不正咬合にはいくつかの種類があります。
歯並びに凸凹があるものです。乱杭歯(らんぐいば)と言われることもあります。
日本人に多い八重歯は叢生の一種です。顎の大きさと歯の大きさがアンバランスなことが主な原因になります。叢生は見た目が悪いだけでなく、歯磨きがしづらいため、虫歯や歯周病を起こしやすくなります。

噛み合わせが深く、ディープバイトと言われる状態です。前歯が深く咬み込んで、上の前歯が下の前歯に覆いかぶさっています。重度の場合は、下の前歯が上の前歯の裏側の歯ぐきに食い込んで傷つけてしまうことがあります。
下顎が奥に押し込まれることが多く、顎の成長が抑制されたり、顎関節に悪影響を及ぼすこともあります。

奥歯で咬んでいても、上下の前歯が噛み合っておらず隙間がある状態です。オープンバイトとも言われます。前歯で物を噛みきれないため食事がしづらく、奥歯に必要以上に負担がかかってしまうのが問題です。
また、上下の前歯の間に隙間があることで、空気が漏れて発音が不明瞭になることがあります。この隙間に舌を入れる癖(舌突出癖)があることが多いです。

上下の歯の噛み合わせの位置関係がどこかで反対になっている状態です。
反対になっている位置を起点として、上下の顎の骨が横にズレて成長していってしまいます。顔貌が歪むなどの悪影響が起こる可能性があります。
顎がまだ成長していない小児矯正が有効になります。

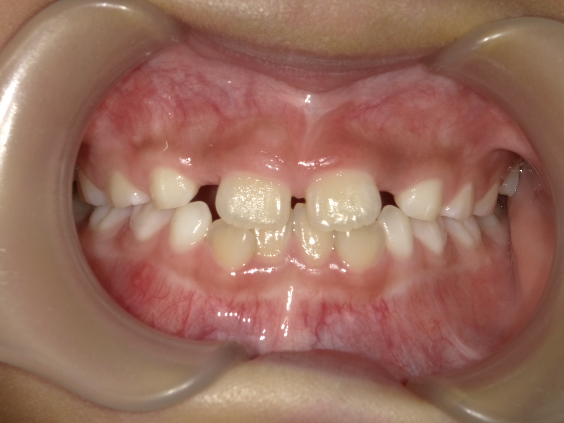
空隙歯列(くうげきしれつ)とも言われ、歯と歯の間に隙間が開いている歯並びです。
上の前歯の中央に隙間がある状態を正中離解といい、見た目が気になることが多いです。
歯と歯の間に隙間があるため、空気が漏れて、発音が不明瞭になることがあります。

上の前歯が前方に飛び出している状態で、いわゆる出っ歯と言われるものです。
前歯が傾いていることによる歯性のものと、上顎の骨が全体的に前に出ている、あるいは、下顎が後方に下がり過ぎている骨格性のものがあります。
口を開けた時に前歯が目立ったり、口元が前に出ているなど、見た目にも影響します。

上下の歯を噛み合わせた時に、下の歯が上の歯よりも前に出ている状態で、受け口・反対咬合とも言われます。
鼻で呼吸ができないと、無意識に下顎を前に突き出すことがあります。これは後天的な原因ですね。
一方、成長とともに上下の顎の前後的なズレが大きくなる場合(遺伝的)は、顎変形症と呼ばれ、20歳前後で外科的矯正治療(外科的に顎の骨を切る)を行うこともあります。
見た目に影響するほか、発音が不明瞭になり聞き取りにくい話し方になることもあります。下顎の成長をコントロールはできませんが、小児期からの上顎の拡大が有効であることがよくあります。

歯並びが悪くなるのには、骨格などの遺伝的要因と、歯並びを悪くする癖などの後天的要因があります。
顎や歯の大きさや形は、親から子へ遺伝します。
ただし、歯並びは必ずしも遺伝しません。遺伝的要因に癖や生活習慣などの後天的要因が合わさって、歯並びが決まってきます。

歯並びに影響する癖や生活習慣があります。

指しゃぶり
乳児期の歯並びは、子供にとって必要な成長過程の一つでもあります。しかし3歳4歳になっても長時間の指しゃぶりがあると、歯並びに影響する可能性が高くなります。上顎前突や開咬になりやすいです。
頬杖やうつ伏せ寝・横向き寝
頬杖やうつ伏せ寝・横向きで寝る癖は、歯列を内側に押す力が加わるので、歯並びが悪くなる原因になります。
舌の癖
前歯を舌で押す癖や、上下の前歯の間から舌を突き出す癖は、歯並びが悪くなる原因になります。出っ歯やすきっ歯、開咬などさまざまな不正咬合が考えられます。
口呼吸
口呼吸の癖があると、舌が本来ある位置よりも下がり、上顎の歯列が頬によって内側に押されて狭くなります。
そうなると永久歯が生えるスペースが足りずに歯並びが悪くなります。また、口呼吸で、口をポカンと開けていると口唇の周りの筋肉が緩み、歯が前方に傾いてしまうこともあります。口呼吸をすることで、風邪をひきやすい、口腔内が乾燥しやすい、姿勢が悪い、食べ方が変などの不都合が生じやすくなります。
小児矯正はできる時期が限られています!
お口周辺の成長状態によりますが、6歳から9歳頃に開始し、12歳頃までが治療対象となることが多いです。
それをすぎると、永久歯列が生え揃ってきますので、2期治療と呼ばれる大人の矯正と同様の矯正治療になります。矯正方法は、ワイヤー矯正やマウスピース矯正になります。それでも口呼吸の弊害があるようなら、上顎の拡大を初めに行います。

| 相談料 | 無料 |
|---|---|
| 検査料+診断料 | 55,000円 |
小児矯正の場合
| Ⅰ期治療のみ | 330,000~440,000円 |
|---|---|
| Ⅱ期治療が必要な場合 | 追加で495,000円~605,000円(総額935,000円) |
マウスピース矯正の場合、来院は2カ月毎になり、
調節の必要はありませんので、定期健診の診察料の3,300円となります。
| 月々の調節料 | 6,600円 |
|---|---|
| 定期健診の診察料 | 3,300円 |
始める時の歯の状態によって、期間や回数は変わってきます。
一般的には、2年~2年半とお伝えしていますが、来院は月1回の時もあれば、2~3ヶ月に1回の時もあります。
リテーナ(保定装置)になれば、およそ3ヶ月に1回、交換状況のチェックをさせていただきます。