こんにちは。保田矯正歯科です。
突然ですが、「正中離解」という言葉を聞いたことはありますか。
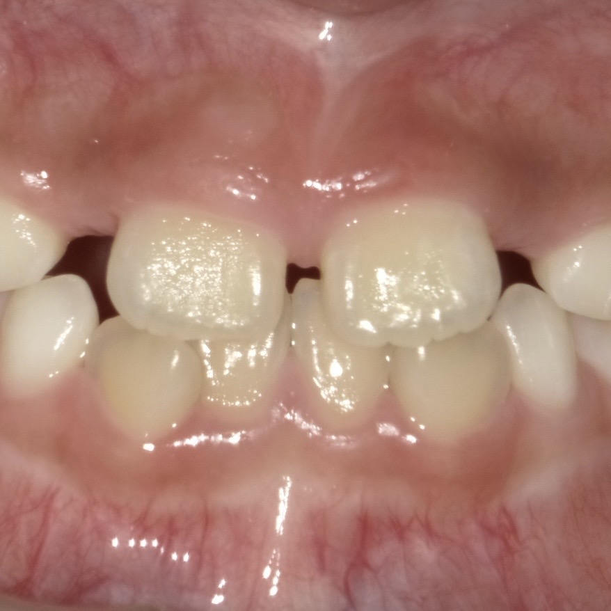
正中離解とは、中央に生えている2本の前歯(中切歯)の間に隙間が空いている状態を表します。
例えば、この写真のような状態です。

乳歯が抜けて永久歯に生え替わる「みにくいアヒルの子」の時期には、一時的に歯と歯の間に隙間が生じることがあります。
そのような隙間は多くの場合、中切歯の両サイドから2番目の前歯(側切歯)などの永久歯が生えることで自然に閉鎖されます。
ただし、約2.0 mm以上の正中離解が自然に閉鎖することはほとんどありません。
また、いずれ閉鎖するとしても前歯に隙間があることで審美面が気になったり、発音障害を引き起こす可能性もあります。
正中離解の原因は顎のサイズに対して歯のサイズが小さくスペースが余っていることが一般的ですが、
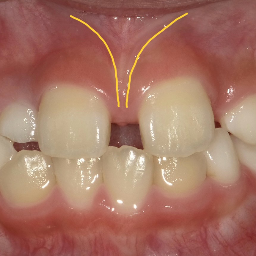
上唇小帯が歯の近くまで付着していたり、歯と歯の間に正中埋伏過剰歯が存在していることもあります。
それぞれ以下のような状態です。
上唇小帯の高位付着

正中埋伏過剰歯

どちらも矯正治療と並行して外科処置が必要です。
大人になってから正中離解が生じることもありその原因は
何らかの理由で歯を喪失した場合や歯周病の進行で歯を支える骨(歯槽骨)が弱くなった場合などが挙げられます。
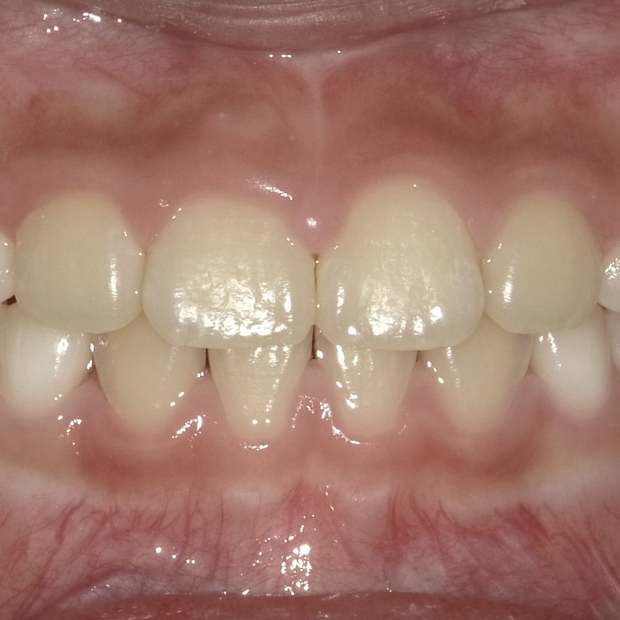
正中離解の矯正治療では、前歯の表側にマルチブラケット装置を装着して歯を動かします。
1番初めの写真から矯正治療が進んだ後の写真がこちらです。

ちなみに海外では正中離解は「幸運の歯」と好意的に捉えられ、あえて治療を行わないこともあるようです。
しかし日本では、歯並びの乱れとして捉えられることが多く、コンプレックスにつながる場合もあります。こうした背景から、日本においては矯正治療を行い、歯並びを整える選択をする方が多いのが現状です。
まずはご相談ください。