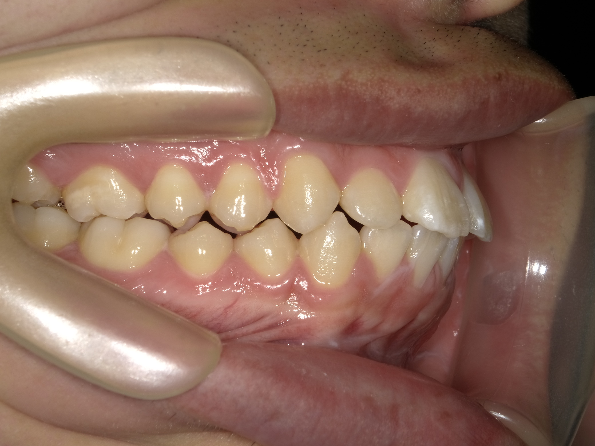
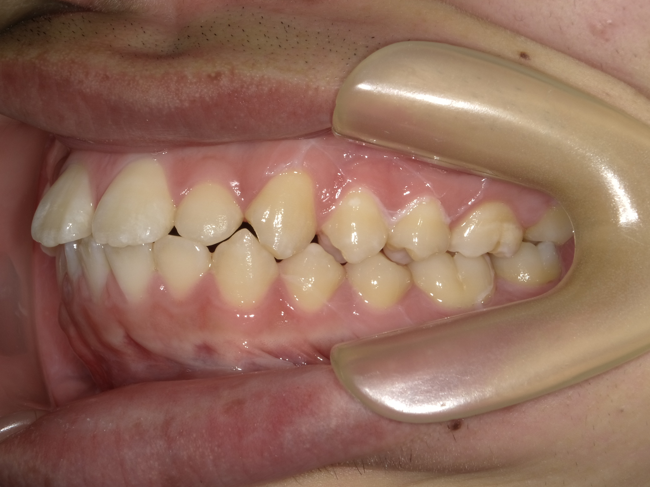
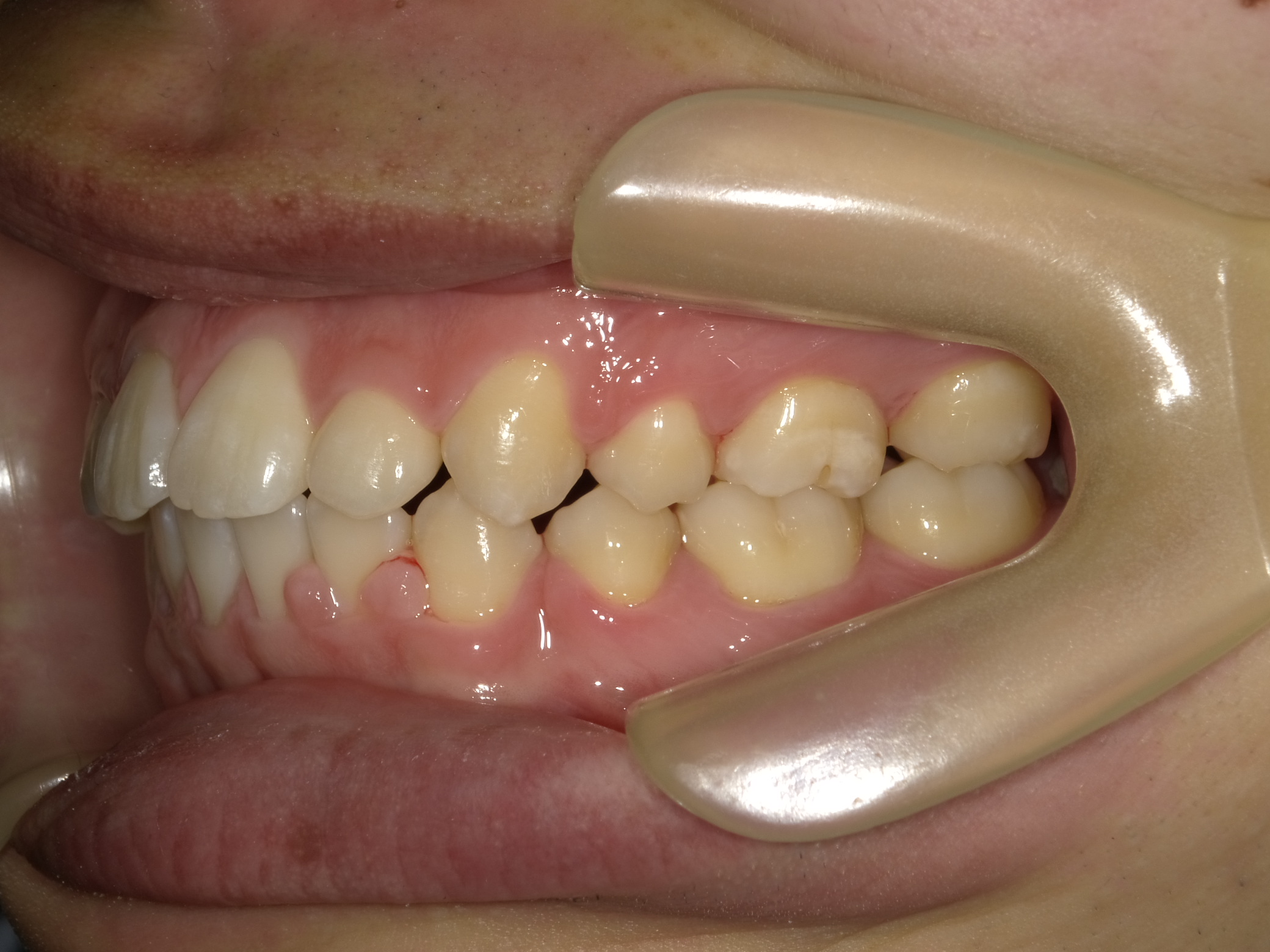
「上下顎前突」とは上下の前歯が前に出ている歯並びのことを表します。歯が並ぶスペースが足りなくて、歯が上下とも前に出てしまえば上下顎前突になります。歯のサイズに対して上下の顎が生まれつき小さい場合、サイズの不調和で上下顎前突になることがあります。ここでも口呼吸による舌の位置の悪さが関与していることがあるのですが、特に頬圧に押されることで歯並びの横幅が狭くなってしまいます(V字型の歯列)。

上下の顎が小さいことや歯のサイズが大きいという個性のほとんどは親からの遺伝です。
口呼吸などの悪い癖(習癖)によって前歯を外に押し出し、上下顎前突出来上がってしまいます。反対に、上下の前歯が出ているために唇が内側から押されて、口が閉じにくくなる場合もあります。
成長期のお子さんの場合は、顎の側方拡大・習癖の改善などで顎の正しい成長を促します。これらが基本ですが、お口の中の状態や成長の度合いによってできることとできないことがあるので、最適な組み合わせを提供します。

成長期のお子さんの場合は、顎の側方拡大・習癖の改善などで顎の正しい成長を促します。これらが基本ですが、お口の中の状態や成長の度合いによってできることとできないことがあるので、最適な組み合わせを提供します。











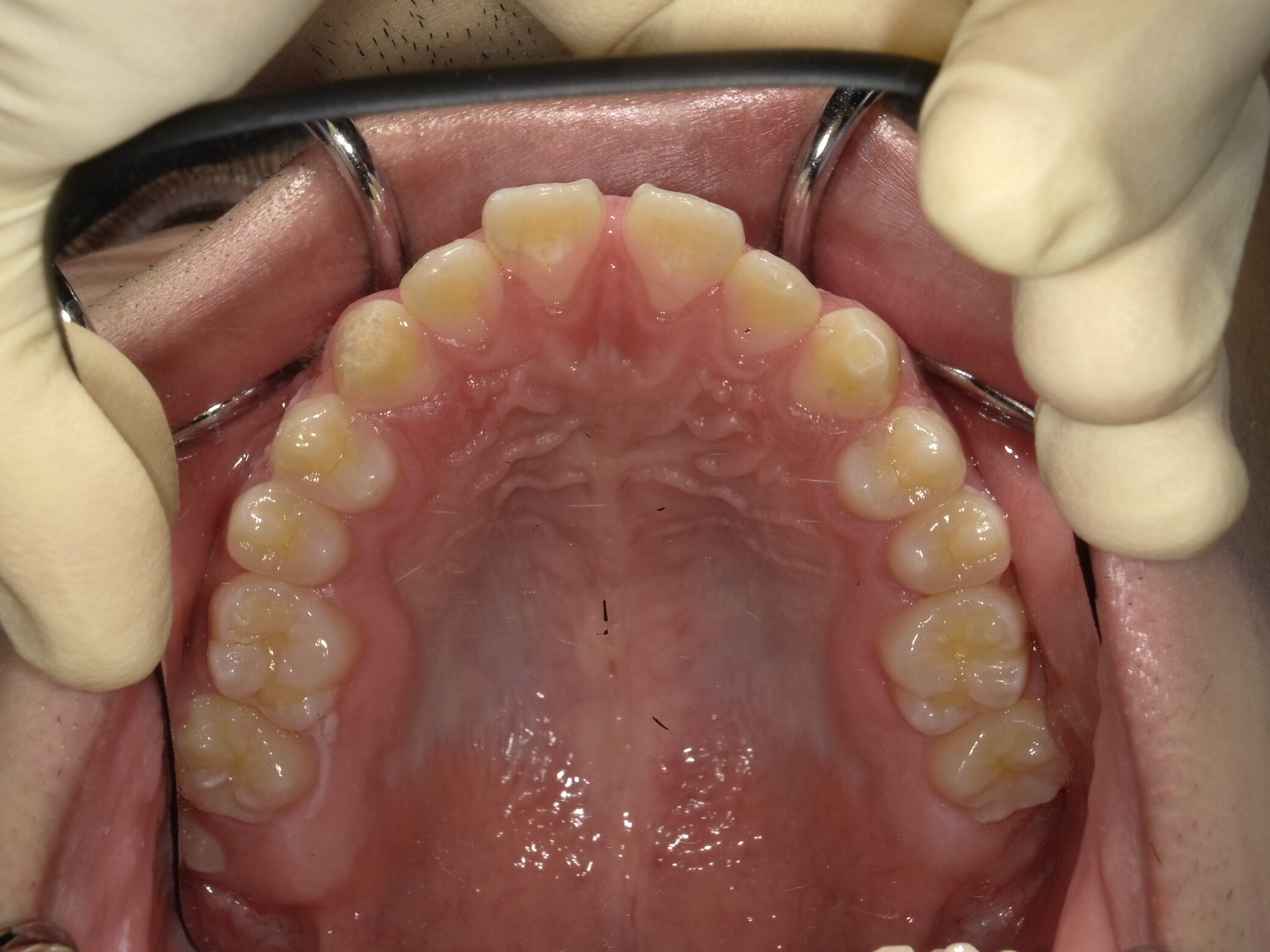
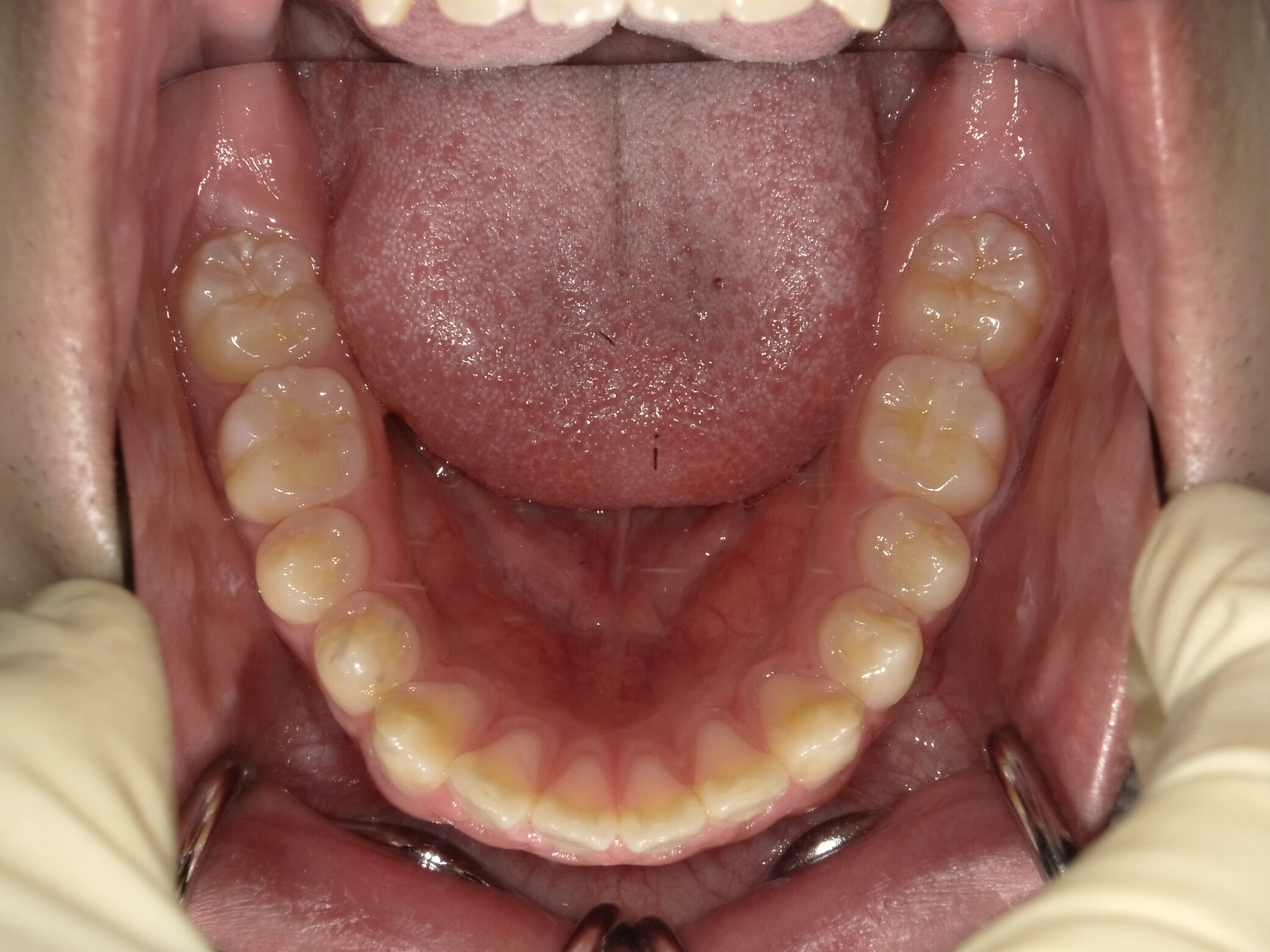
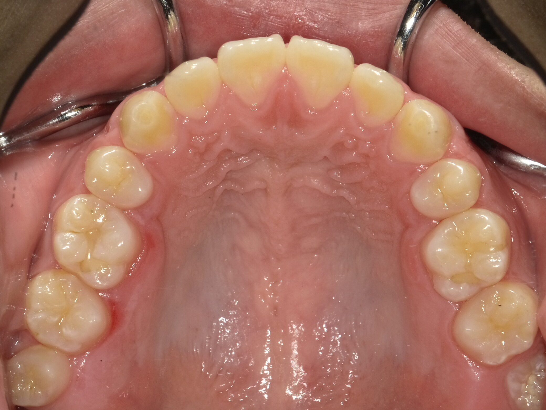
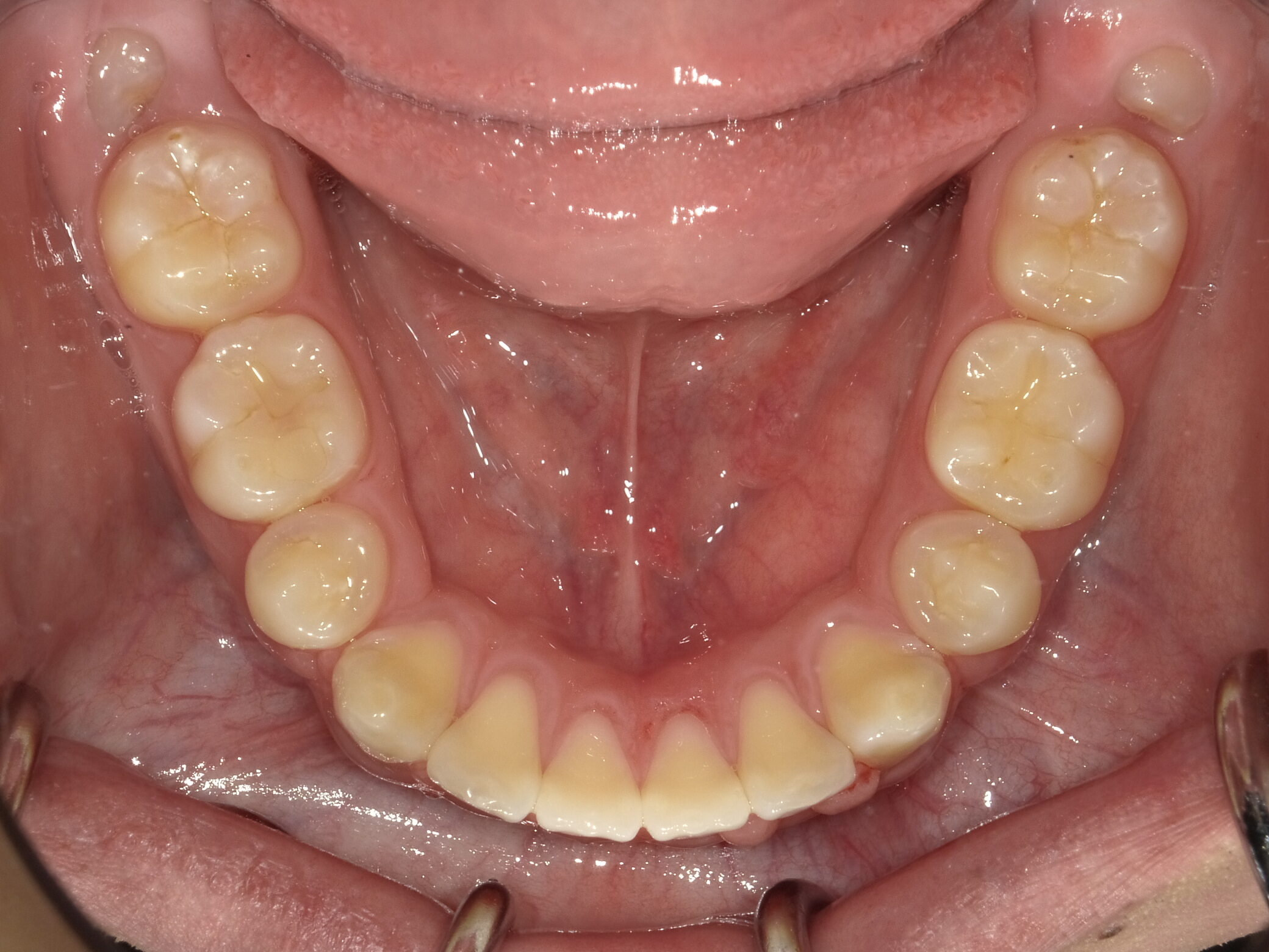
| 症例分類 | 上下顎前突 |
|---|---|
| 主訴 | 前歯が出ていて、口が閉じにくい |
| 年齢 | 20歳0ヶ月 |
| 性別 | 男性 |
| 抜歯部位 | 上下顎両側第一小臼歯 |
| 使用装置 | 歯の表側からのマルチブラケットによる矯正装置 |
| 治療期間 | 2年10ヶ月 |
| 保定装置 | 取り外し式保定装置 |
| 費用 | 相談料0円、検査料55,000円 動的矯正治療費935,000円 調整料6,600円×28回分 保定装置料0円 |
| リスク・注意点 | 上下の個々の歯の大きさに対して上下の顎が小さく歯が並ぶスペースが不足したために上下の前歯が前方に傾斜して、上下顎前突が生じています。これらを改善するために、上下顎両側第一小臼歯を抜歯して、このスペースを用いて歯を排列しました。歯の動き方には個人差があり、予想された治療期間が延長する可能性があります。 治療中は矯正歯科装置が歯の表面に付いており、歯が磨きにくくなるため、むし歯や歯周病が生じるリスクが高まります。ハミガキを適切に行ってお口の中を常に清潔に保ち、さらに、かかりつけ歯科医に定期的に受診することが大切です。 顎間ゴムの使用状況、定期的な通院など、矯正歯科治療には患者さんの協力が必要であり、それらが治療結果や治療期間に影響します。 治療の経過によっては当初予定していた治療計画を変更する可能性があります。 歯を動かすことにより歯根が吸収することがあります。 保定装置の装着時間が十分確保できない場合、歯並びや、咬み合せの「後戻り」が生じる可能性があります。 |