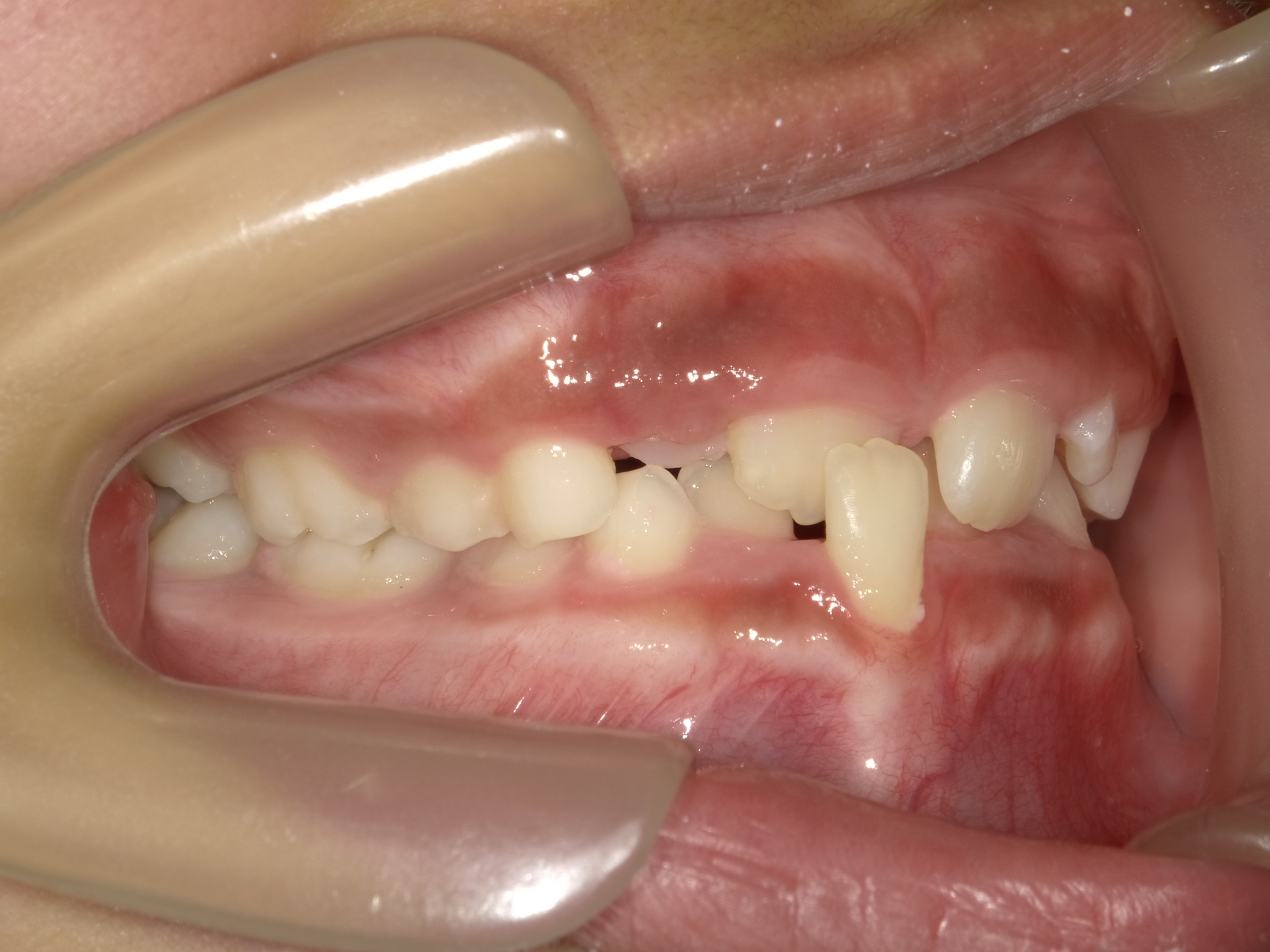
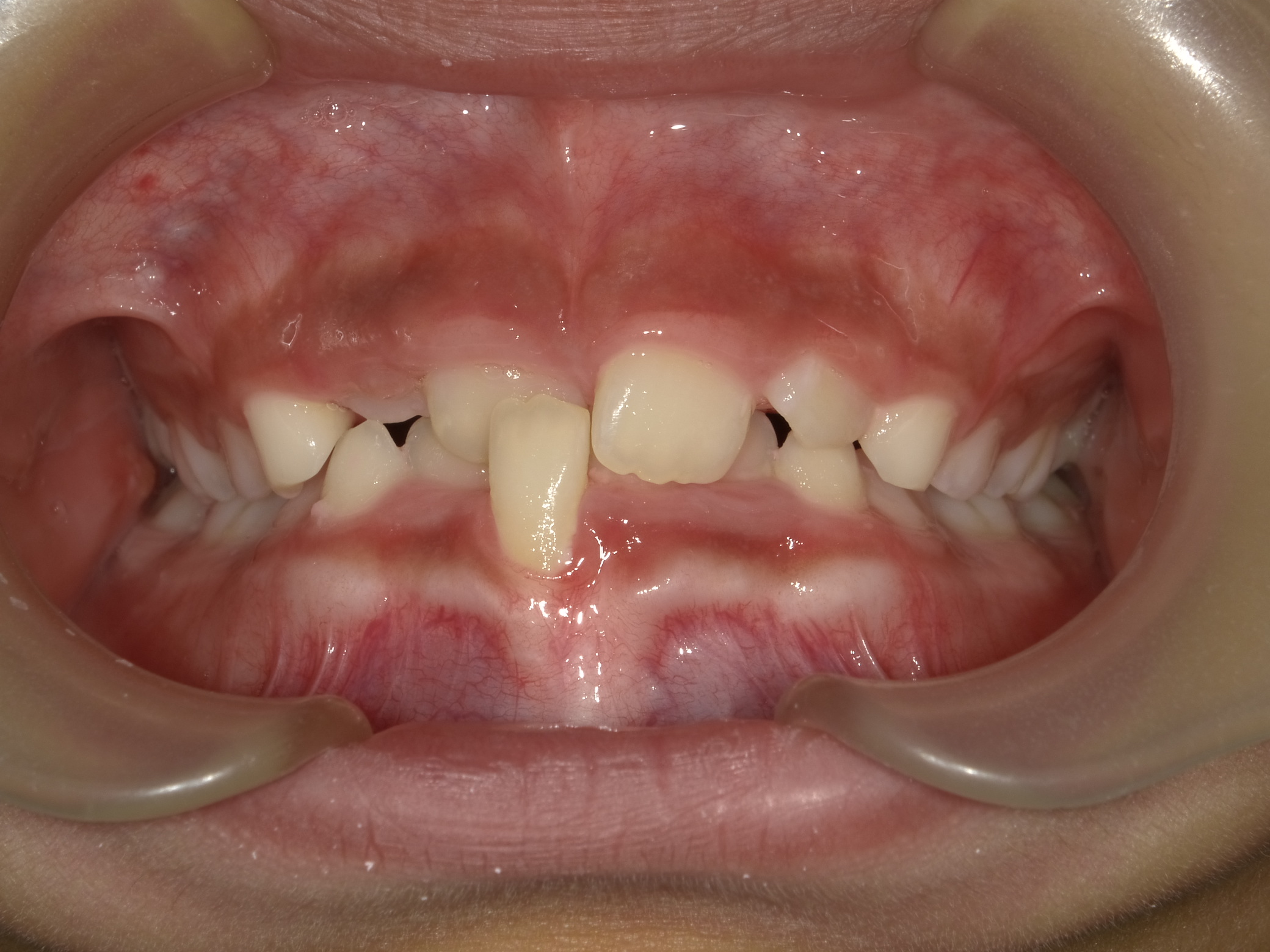
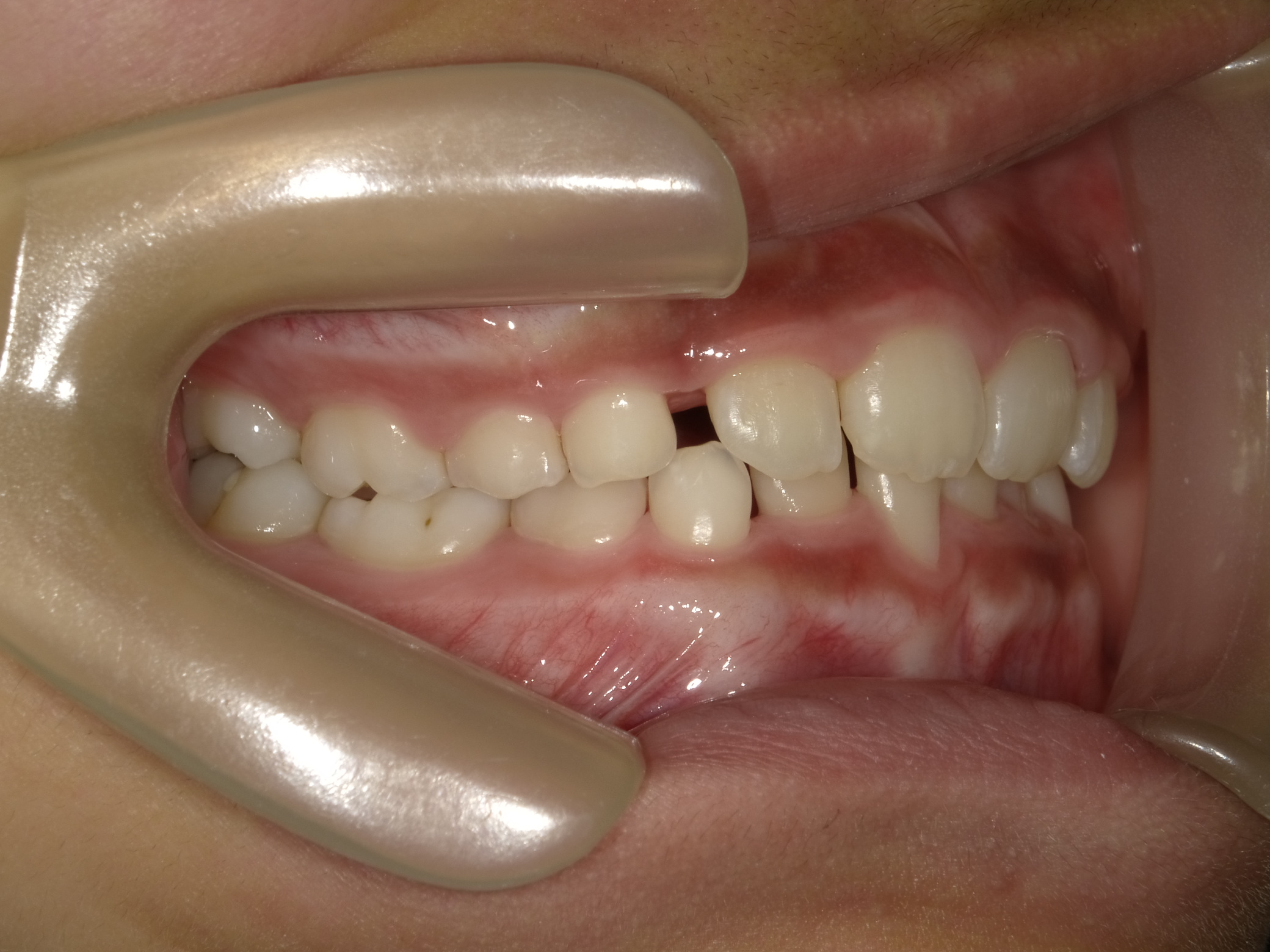
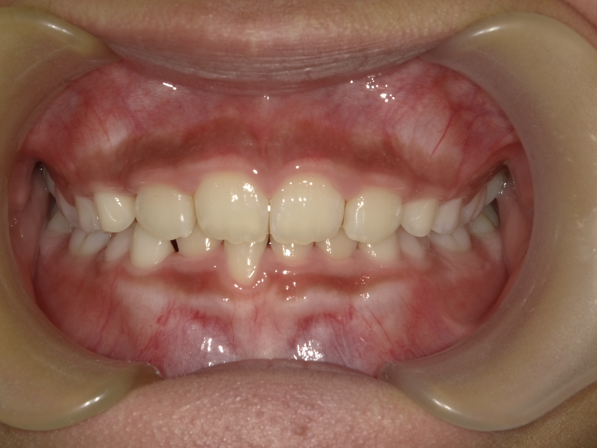
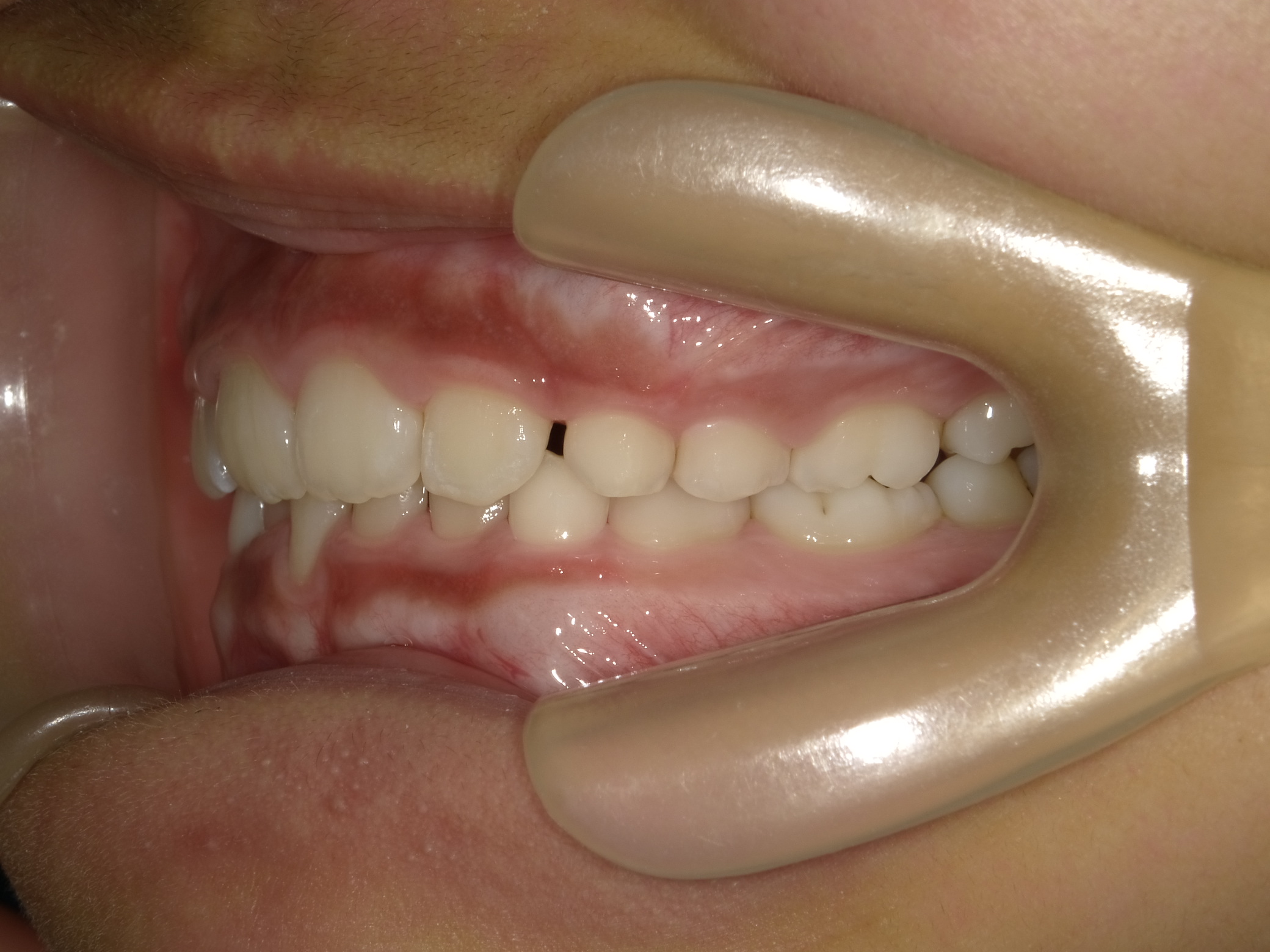
上下の歯を咬み合わせたときに、1本から数本の歯が反対に咬む場合があります。このような状態を「交叉咬合」と呼んでいます。前歯で生じることもあれば、奥歯で生じることもあります。前歯が全て反対になると「反対咬合」です。
前歯に交叉咬合が生じた場合、その部分は歯並びががたついているので「叢生」と捉えても良いのですが、この咬み合わせで厄介なのは交叉咬合の部分で咬み合わせが制限されて下顎の動きに制約が生じることです。食事のときなどに下顎を自由に動かすことができず、その後の顎の成長や顎の関節に悪影響を与えてしまいます。また、下の前歯が反対に咬んで出ている状態では、下の前歯に過度な力がかかって唇側の歯茎がぐんと下がってしまうこともあります(歯肉退縮)。
奥歯に交叉咬合が生じた場合、下顎が左右どちらかにずれてしまうので、放置すると顔の歪みにつながります。歪みを最小限にとどめようと思うと、早い段階での治療が有効です。

上下の骨の形が著しく左右非対称である場合、交叉咬合の原因となり得ます。乳歯が抜けないまま永久歯が異常な場所から生えてきたり、スペースが不足することで歯の生え変わりが上手く進まなかった場合も交叉咬合となる場合があります。
口呼吸や指しゃぶりなどの悪い癖(習癖)や歯の喪失(虫歯や歯周病)によって、永久歯が正常な位置に萌出できないと交叉咬合になってしまいます。
成長期のお子さんの場合は、前歯の一部が反対に咬んでいる場合は、上の前歯を前に押し出す、奥歯が反対に咬んでいる場合は、顎の側方拡大を行います。習癖の改善を勧めることもあります。左右非対称な咬み合わせを改善することで顎の正しい成長を促します。これらが基本ですが、お口の中の状態や成長の度合いによってできることとできないことがあるので、最適な組み合わせを提供します。

上下の歯にブラケット装置を装着し、全ての歯を3次元的に動かすことで歯並びを改善します。奥歯が反対に咬んでいる場合は、大人でも上下の歯並びの幅径を整えるために上顎の側方拡大を行うことがあります。上下の骨の形が著しく左右非対称である場合、手術で上下顎の骨切りを行うこともあります。











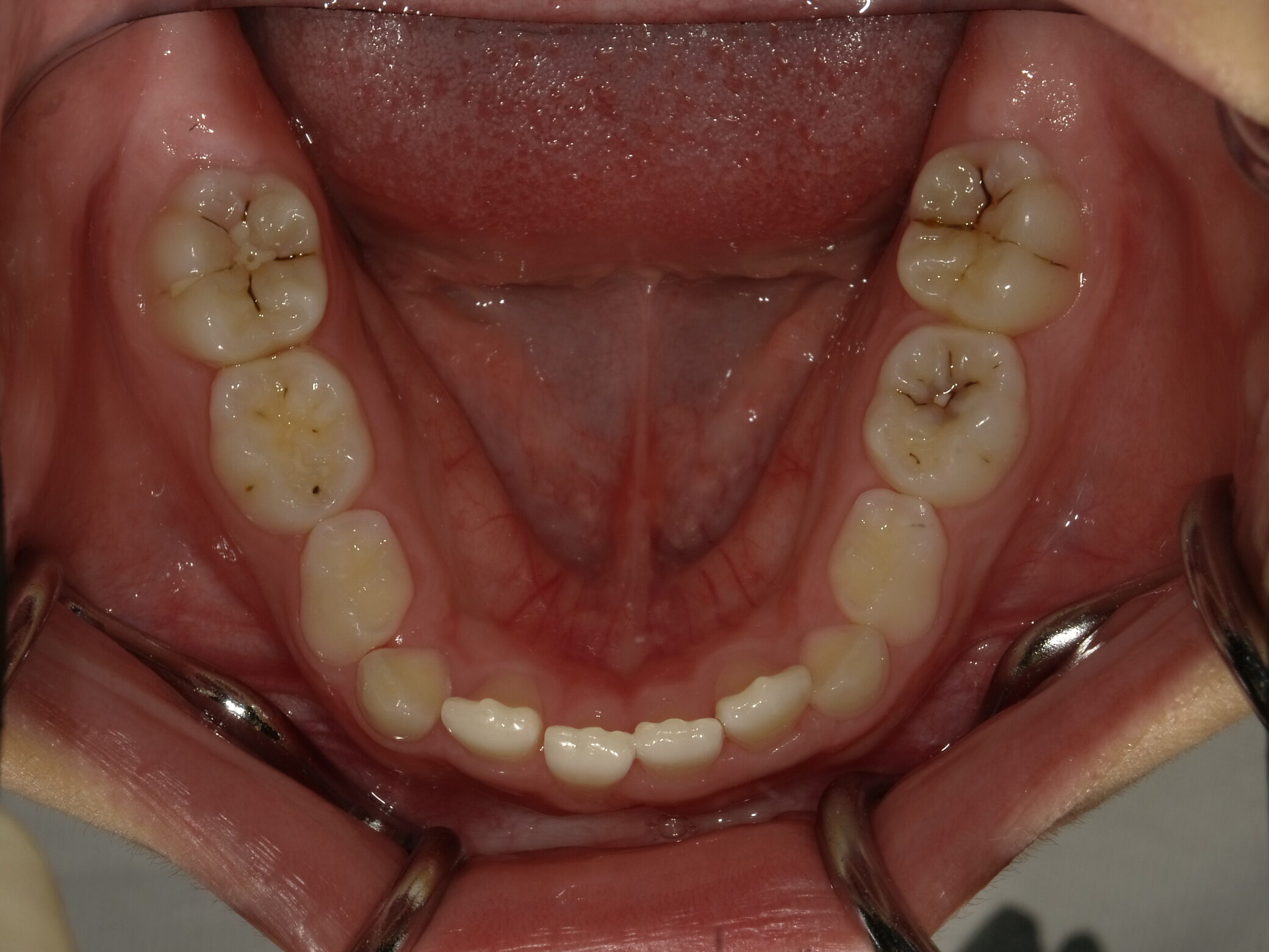
| 症例分類 | 交叉咬合 |
|---|---|
| 主訴 | 前歯がずれて咬んでいる |
| 年齢 | 9歳5ヶ月 |
| 性別 | 女性 |
| 抜歯部位 | なし |
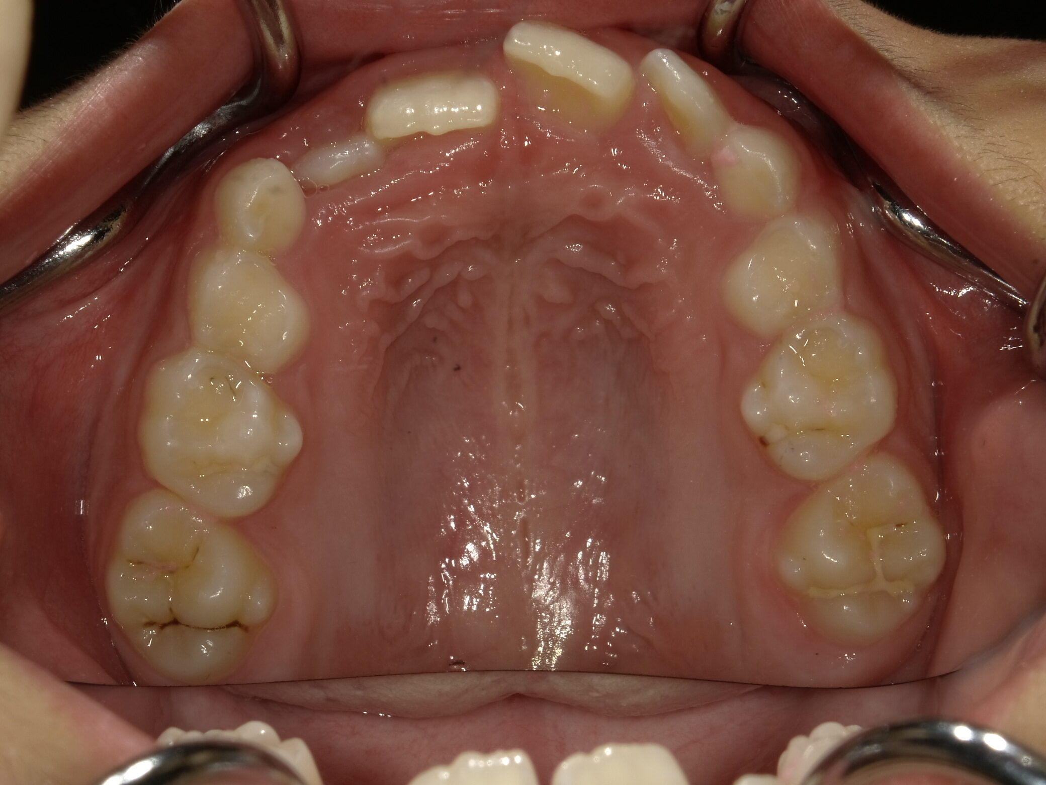
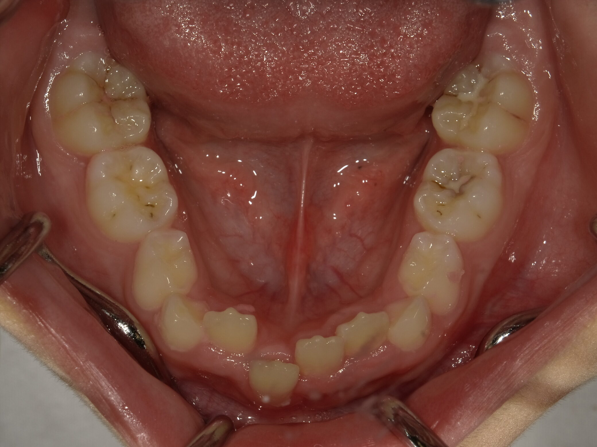
| 使用装置 | 拡大装置、上顎前歯部のセクショナルアーチ装置、取り外し式保定装置 |
| 治療期間 | 1年2ヶ月 |
| 費用 | 相談料0円、検査料50,000円 動的矯正治療費330,000円 調整料6600円×15回分 保定装置料0円 |
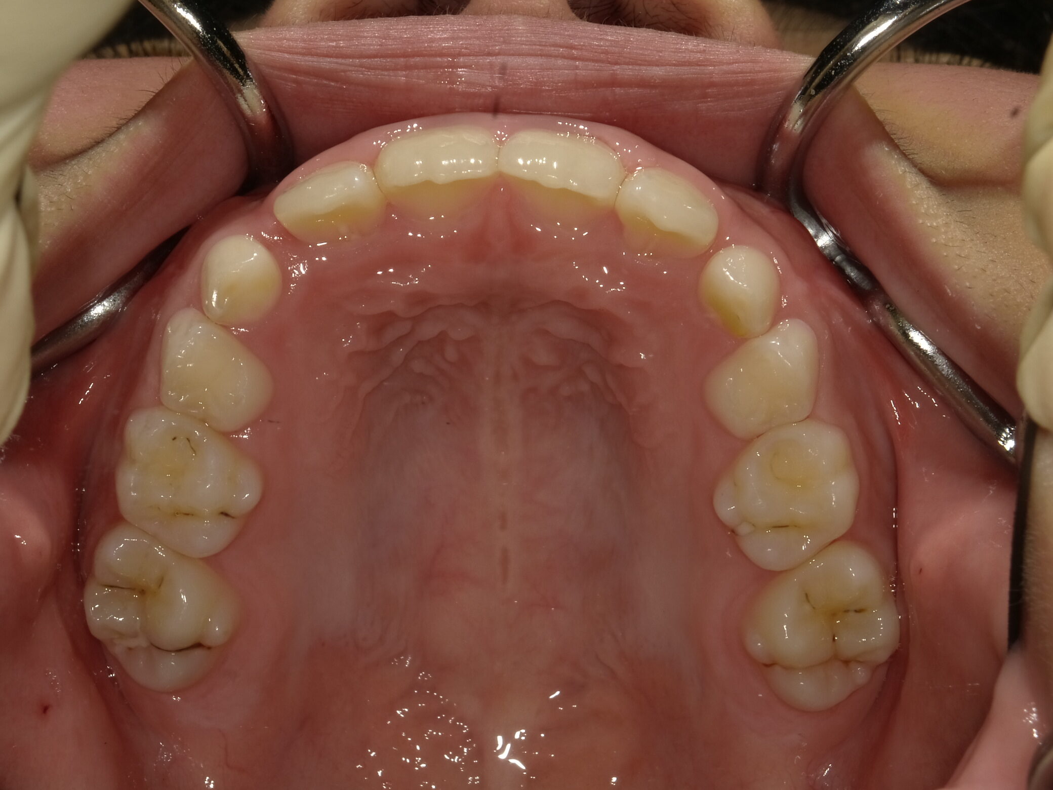
| リスク・注意点 | 個々の歯の大きさに対して顎が小さく、歯が並ぶスペースが不足したために交叉咬合が生じています。これらを改善するために、幅の狭搾している歯列を側方に拡大した後、前歯を排列しました。
歯の動き方には個人差があり、予想された治療期間が延長する可能性があります。 治療中は矯正歯科装置が歯の表面に付いており、歯が磨きにくくなるため、むし歯や歯周病が生じるリスクが高まります。ハミガキを適切に行ってお口の中を常に清潔に保ち、さらに、かかりつけ歯科医に定期的に受診することが大切です。 矯正歯科装置の使用状況、定期的な通院など、矯正歯科治療には患者さんの協力が必要であり、それらが治療結果や治療期間に影響します。 治療の経過によっては当初予定していた治療計画を変更する可能性があります。 保定装置の装着時間が十分確保できない場合、歯並びや、咬み合せの「後戻り」が生じる可能性があります。 上下両側第二大臼歯の萌出を観察する必要があります。 |