オフィスホワイトニング症例紹介|20代男性
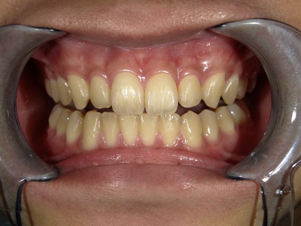
初診時

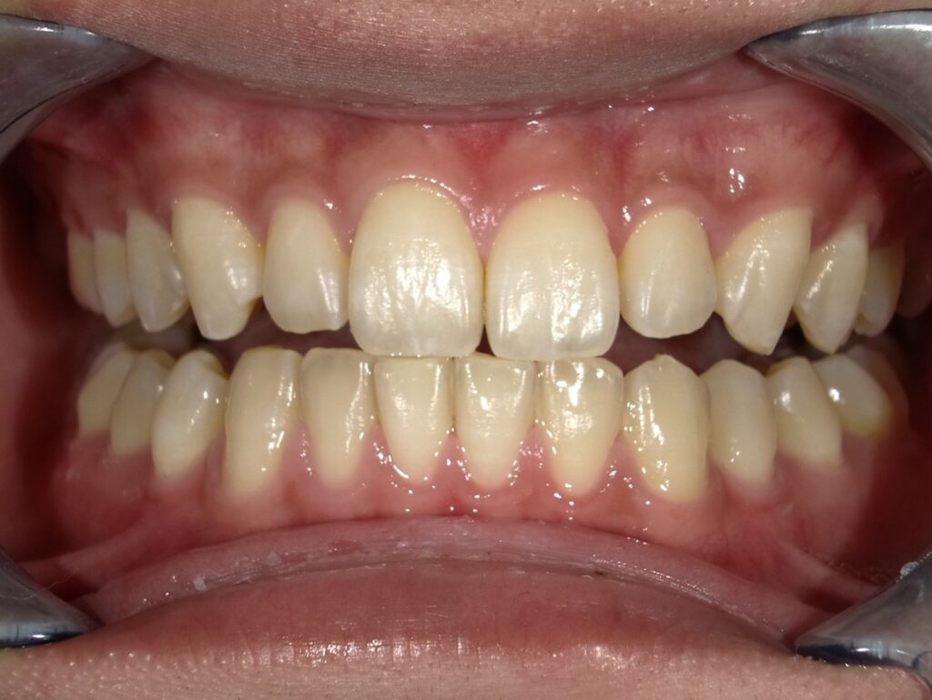
1回目

| 主訴 | 大学生になってから歯の色が気になり始めた。歯の黄色みがなくなってほしい。 |
|---|---|
| 年齢、性別 | 20代、男性 |
| 治療内容 | オフィスホワイトニング |
| 治療回数 | 1回(累計3回照射) |
| 治療期間 | 1日 |
| 費用 | パウダートリートメント&オフィスホワイトニング(初回、3回光照射)11,000円(税込) |
| リスク・注意点 | 一時的な疼痛や色ムラが生じる場合があります。ホワイトニング後は多少の後戻りが生じる場合があります。 |


| 主訴 | 大学生になってから歯の色が気になり始めた。歯の黄色みがなくなってほしい。 |
|---|---|
| 年齢、性別 | 20代、男性 |
| 治療内容 | オフィスホワイトニング |
| 治療回数 | 1回(累計3回照射) |
| 治療期間 | 1日 |
| 費用 | パウダートリートメント&オフィスホワイトニング(初回、3回光照射)11,000円(税込) |
| リスク・注意点 | 一時的な疼痛や色ムラが生じる場合があります。ホワイトニング後は多少の後戻りが生じる場合があります。 |