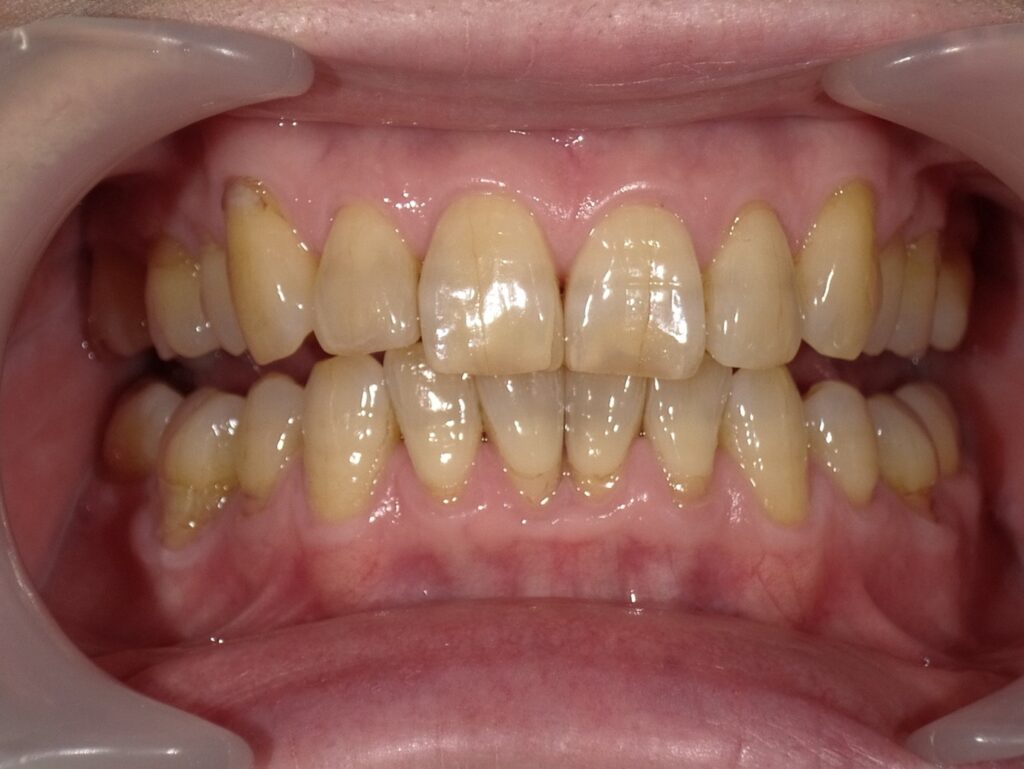
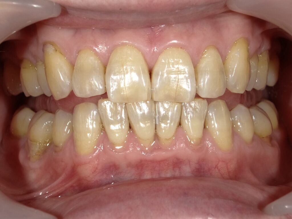
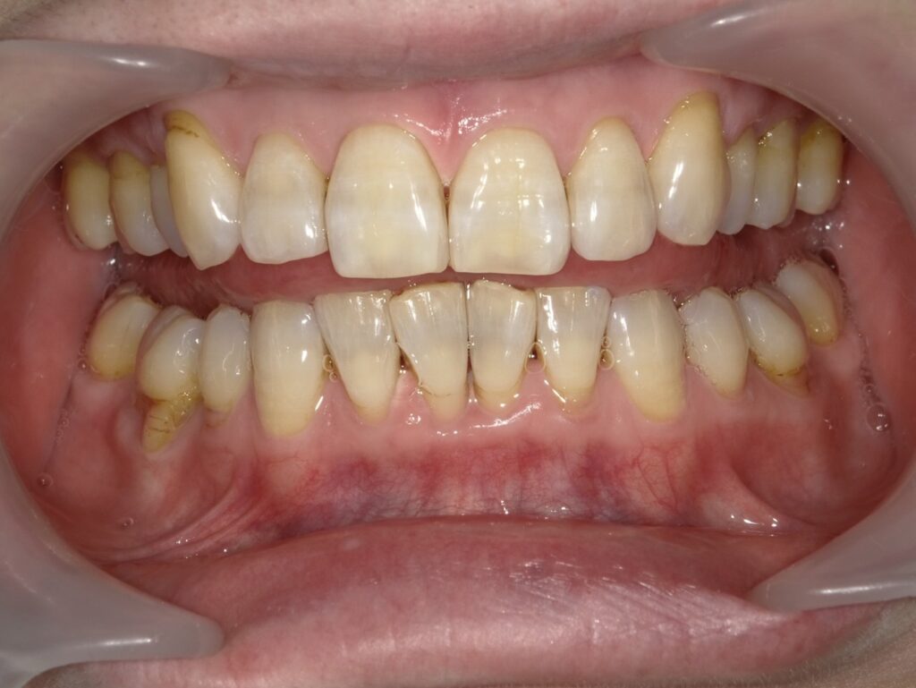
オフィスホワイトニング症例紹介|50代女性
初診時

1回目

5回目

| 主訴 | アンチエイジングの一環として、年を重ねて着色した歯を白くしたい。 |
|---|---|
| 年齢、性別 | 50代、女性 |
| 治療内容 | オフィスホワイトニング |
| 治療回数 | 5回(累計15回照射) |
| 治療期間 | 2ヶ月(1回目:1日、5回目:2ヶ月) 2週間おきにホワイトニングしました |
| 費用 | パウダートリートメント&オフィスホワイトニング (初回、3回光照射)11,000円(税込) オフィスホワイトニングのみ (2-5回目、3×4=12回光照射)44,000円(税込) |
| リスク・注意点 | 一時的な疼痛や色ムラが生じる場合があります。ホワイトニング後は多少の後戻りが生じる場合があります。 |