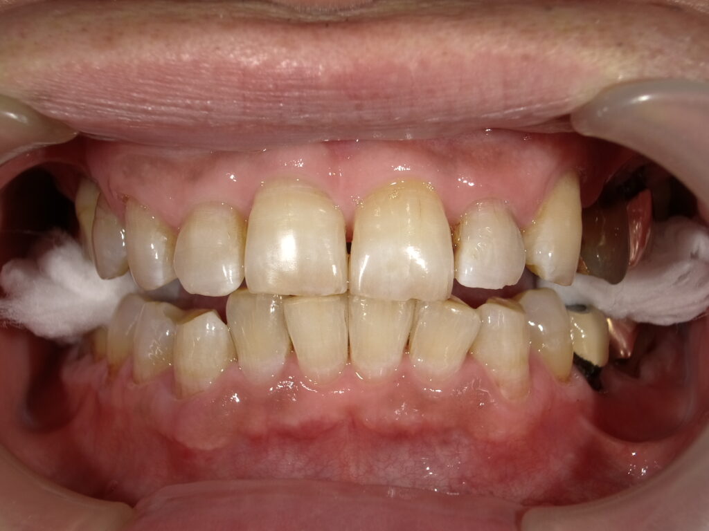
オフィスホワイトニング症例紹介|50代男性
初診時

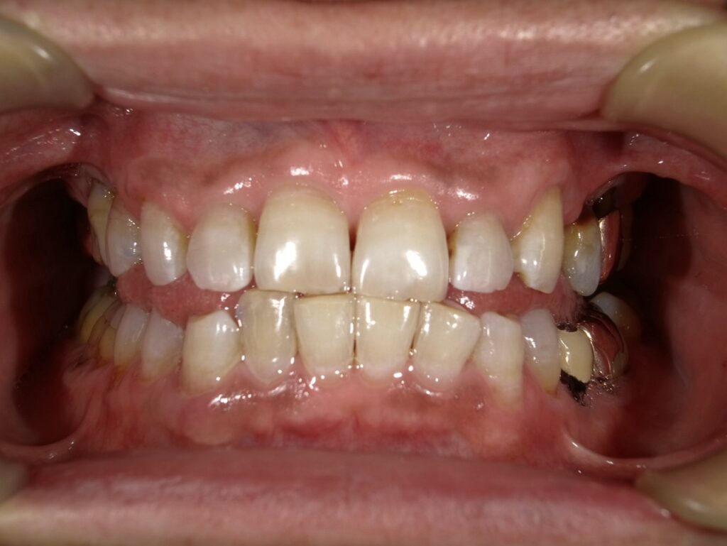
1回目

3回目

4回目

| 主訴 | コーヒーをよく飲むことで茶色くなってしまった歯を白くしたい。 |
|---|---|
| 年齢、性別 | 50代、男性 |
| 治療内容 | オフィスホワイトニング |
| 治療回数 | 5回(累計15回照射) |
| 治療期間 | 1ヶ月(1回目:1日、3回目:7日、5回目:1ヶ月) 1週間おきにホワイトニングしました |
| 費用 | パウダートリートメント&オフィスホワイトニング (初回、3回光照射)11,000円(税込) オフィスホワイトニングのみ (2-5回目、3×4=12回光照射)44,000円(税込) |
| リスク・注意点 | 一時的な疼痛や色ムラが生じる場合があります。ホワイトニング後は多少の後戻りが生じる場合があります。 |